5小时“拆弹”!九江学院附属医院神经外科成功切除6厘米颅内巨大动脉瘤

1月22日 11时 阅读 30253

“感谢你们给了我父亲第二次生命!”近日,在九江学院附属医院神经外科病房,患者家属陈女士紧握科室主任陈亮的手,再三表达感激。神经外科团队历经5小时高难度开颅夹闭手术,成功“拆除”患者颅内长径达6厘米的巨大动脉瘤,彰显了医院在复杂脑血管疾病治疗领域的过硬实力,也体现了医联体建设为区域患者带来的优质医疗保障。

图片

患者年龄62岁,因反复剧烈头痛、精神改变就诊。急诊头部CT提示蛛网膜下腔出血,CTA检查显示其大脑后动脉起始段有一枚6厘米巨大动脉瘤,磁共振进一步提示瘤体囊内血栓形成,已挤压脑组织及神经,引发梗阻性脑积水。“颅内巨大动脉瘤堪称‘定时炸弹’,随时可能引发脑疝,破裂后死亡率极高。”陈亮介绍,患者动脉瘤位置深,且合并高血压病史,手术难度与风险极大。

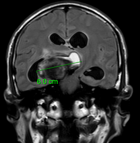
图片

动脉瘤长径6cm,挤压脑组织致中线移位

面对棘手病情,神经外科团队迅速启动多学科协作机制,邀请省内外专家远程会诊,最终确定采用“显微镜下开颅动脉瘤夹闭术+囊内血栓部分摘除术”。手术需在毫米级空间内分离粘连组织,精准夹闭瘤颈,既要阻断供血,又要保护周围血管神经。术中,团队借助高清显微镜小心分离粘连,精准定位瘤颈并夹闭,麻醉科全程监测生命体征。历经5小时奋战,动脉瘤被成功夹闭,大部分含栓子瘤体被切除,术后复查显示残留瘤体无血供,且未出现任何神经功能损伤。

图片

动脉瘤腔内栓子形成后血流长径2cm

“得知病情时全家都慌了,是医生耐心讲解方案、分享成功病例,才让我们重拾信心。”患者子女说。术后患者意识清晰,头痛症状明显缓解,家属特意送上锦旗致谢。

作为江西省脑血管疾病区域医疗中心单位,九江学院附属医院神经外科依托医联体建设,与国内顶尖医院深化合作,诊疗水平实现跨越式提升。陈亮提醒,高血压、吸烟等是颅内动脉瘤重要危险因素,建议40岁以上人群定期做头部CTA或MRA筛查。

此次手术的成功,再次验证了九江学院附属医院神经外科在“生命禁区”精耕细作的技术实力。未来,医院将持续发挥“医教研”协同优势,推动技术创新,让区域群众在家门口享受高质量医疗服务。

(来源:九江学院附属医院)

编辑:毕典夫

责编:曹玉婷

审核:杨春霞

评论

下载掌中九江

扫描二维码下载,或者点击这里下载