“以为只是普通肚子疼,没想到差点要了孩子的命!”3月7日,在九江市妇幼保健院小儿外科西院病区,10岁男孩小杨(化名)的家长红着眼眶说。这名因胃穿孔引发急腹症的小学生,经急诊微创手术后转危为安,目前已康复出院。
腹痛4天被忽视,凌晨突发剧痛险休克
小杨是一名四年级学生,4天前就开始喊肚子痛,家长以为是吃坏了肠胃,想着“忍忍就好”,只给孩子吃了些助消化的药。直到3月7日凌晨3点,小杨的腹痛突然加重,变成全腹持续性钝痛,还一阵阵加剧,同时开始恶心、呕吐,吃不下任何东西。
家长这才慌了神,连夜将孩子送到九江市妇幼保健院急诊。检查结果让所有人倒吸一口凉气:
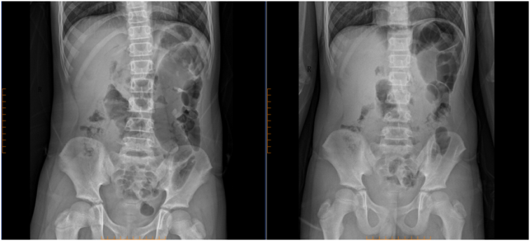
• 腹部立位片显示气腹(腹腔内出现游离气体)、部分肠管明显扩张,这是胃肠道穿孔的典型信号
• 彩超提示腹腔积液、脐周淋巴结肿大,说明腹腔内已有感染
• 血常规显示中性粒细胞比例高达87.4%,提示严重细菌感染
“孩子已经出现了弥漫性腹膜炎的表现,再晚几个小时,就可能发展成感染性休克,危及生命。”接诊胡铭惠主治医师说,结合症状和检查结果,确诊为胃穿孔伴急性腹膜炎,必须立即手术。
微创“钥匙孔”手术,4个小孔修补穿孔
考虑到孩子年龄小,传统开腹手术创伤大、恢复慢,还会留下明显疤痕,小儿外科团队决定采用腹腔镜微创手术。
医生在小杨的腹部打了4个直径仅0.5厘米的小孔,通过高清镜头清晰看到穿孔部位,精准修补了破损的胃壁,同时彻底清理了腹腔内的积液和污染物。整个手术仅用1小时就顺利完成,术中出血不到10毫升。

“微创手术对孩子的创伤极小,术后第二天就能下床活动,肚子上只有几个小小的结痂,几乎看不到疤痕。”主刀医生郭秋鹏介绍,这不仅能让孩子更快康复,也避免了长期卧床带来的并发症。
儿童胃穿孔易被误判,这些信号要警惕
医生介绍,儿童胃穿孔并不常见,但多由胃溃疡、外伤或严重感染引发,早期症状和普通肠胃炎相似,很容易被忽视。如果孩子出现以下情况,一定要立即就医:
1. 腹痛性质突变:从间断隐痛变成持续全腹剧痛,按压肚子时孩子会剧烈抗拒;
2. 伴随呕吐、腹胀:呕吐物为胃内容物,同时肚子明显鼓胀,停止排便排气;
3. 全身症状加重:精神萎靡、脸色苍白、出冷汗,甚至出现意识模糊;
4. 检查提示异常:血常规炎症指标飙升,腹部X光发现气腹,彩超提示腹腔积液;
“很多家长觉得孩子‘忍忍就好’,但儿童急腹症进展极快,胃穿孔、阑尾炎等疾病一旦延误,后果不堪设想。”医生强调,孩子喊肚子疼超过半天不缓解,一定要及时到医院检查,别让小痛拖成大危。
(曹玉婷 九江市妇幼保健院)
本原创内容版权归掌中九江(www.jjcbw.com)所有,未经书面授权谢绝转载。
编辑:毕典夫
责编:曹玉婷
审核:吴雪倩