近日,九江市第一人民医院呼吸诊疗中心联合八里湖内镜中心、麻醉科多学科协作,成功为一名71岁气管肿瘤患者实施呼吸介入手术,解除其大气道90%梗阻的致命窒息危机,让患者重获通畅呼吸。
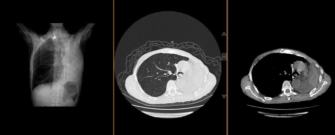
患者李大爷(化名)因咳嗽、胸闷半个月伴呼吸困难紧急入院,胸部CT检查提示气管及左主支气管内占位性病变,气管堵塞超90%,随时可能因窒息危及生命。呼吸诊疗中心团队快速完成病情评估,确诊为气管肿瘤引发的大气道重度狭窄,属呼吸介入诊疗急危重症,需立即通过介入技术解除梗阻。
全麻支气管镜下,呼吸诊疗中心八里湖病区吴健卫主任、徐非州主诊团队,采用高频电刀联合电圈套器环切术,对气管末端新生物分次套扎、精准切除。术中医护团队操作精准,顺利切除病灶并保障右侧主支气管通畅,术后创面无活动性出血,患者呼吸困难症状即刻显著改善,生命体征恢复平稳。切除的新生物已送病理检查,为后续诊疗方案制定提供核心依据。
此次手术的成功,再次彰显了九江市第一人民医院呼吸诊疗中心在急危重症气道梗阻救治中的精湛技术与快速反应能力,印证了呼吸介入技术在大气道狭窄疑难危重症救治中的核心价值。未来,医院将持续深耕呼吸介入领域,为更多气道疾病患者提供更精准高效的诊疗服务。
(曹玉婷 九江市第一人民医院)
本原创内容版权归掌中九江(www.jjcbw.com)所有,未经书面授权谢绝转载。
编辑:毕典夫
责编:曹玉婷
审核:吴雪倩
扫描二维码下载,或者点击这里下载
©2015-2024 掌中九江版权所有
关于我们
联系电话0792-8505892
赣ICP备13005689号
赣公网安备36040302000178号
互联网新闻信息服务许可证36120240007号