绝境辟新生!市一医院多学科协作成功完成一例经颈总动脉急诊TAVR术

3月17日 21时 阅读 31163

近日,九江市第一人民医院多学科团队

为一名极危重主动脉瓣狭窄患者

成功实施

经颈总动脉急诊经导管主动脉瓣置换术(TAVR)

图片

绝境条件下为其打通生命通道

标志着医院在结构性心脏病

急危重症救治领域迈上新台阶

生死关头

常规入路全线封死

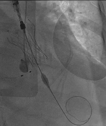
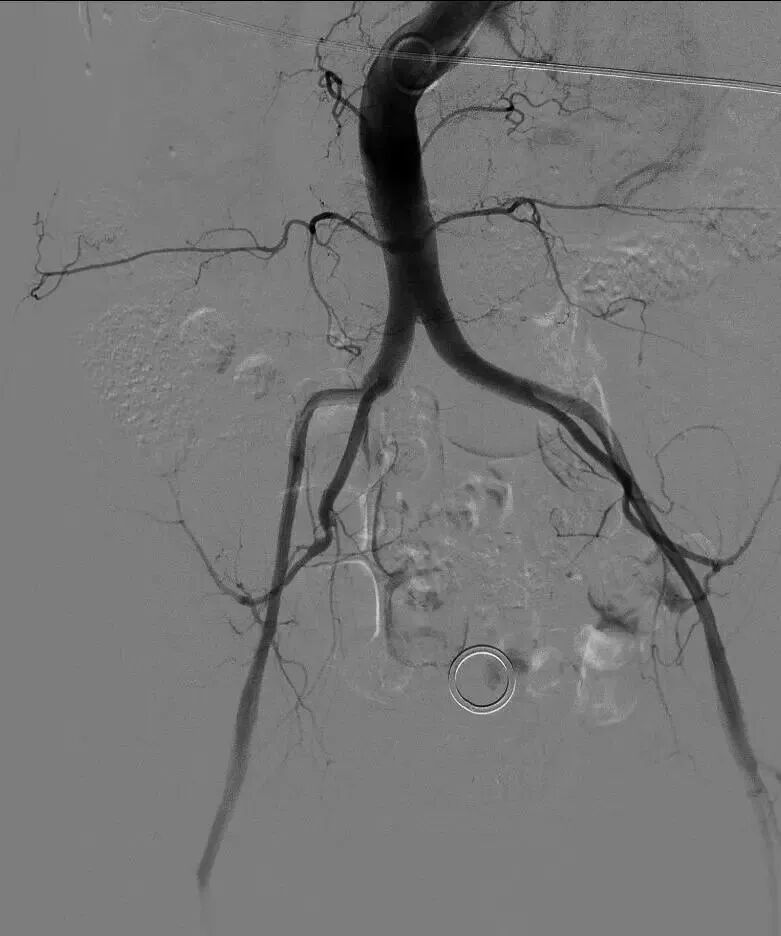
73岁的患者于婆婆(化名)因重度主动脉瓣狭窄入院,突发急性失代偿性心衰合并心源性休克,血压持续走低,多器官功能急剧恶化,此类患者24小时内死亡率超50%,急诊TAVR是唯一的生存希望。术中造影发现,患者双侧股动脉最细处直径不足3毫米,远达不到手术输送鞘管的最低要求,常规入路完全阻断;开胸心尖入路创伤过大,休克状态下的患者根本无法耐受,所有常规方案均不可行。更棘手的是,患者病情危重无法完成术前主动脉CTA检查,手术团队只能在“半盲”状态下,仅凭有限影像和临床经验,完成毫米级的精准操作。

图片

图片

图片

绝境破局

13分钟“雷区”穿行

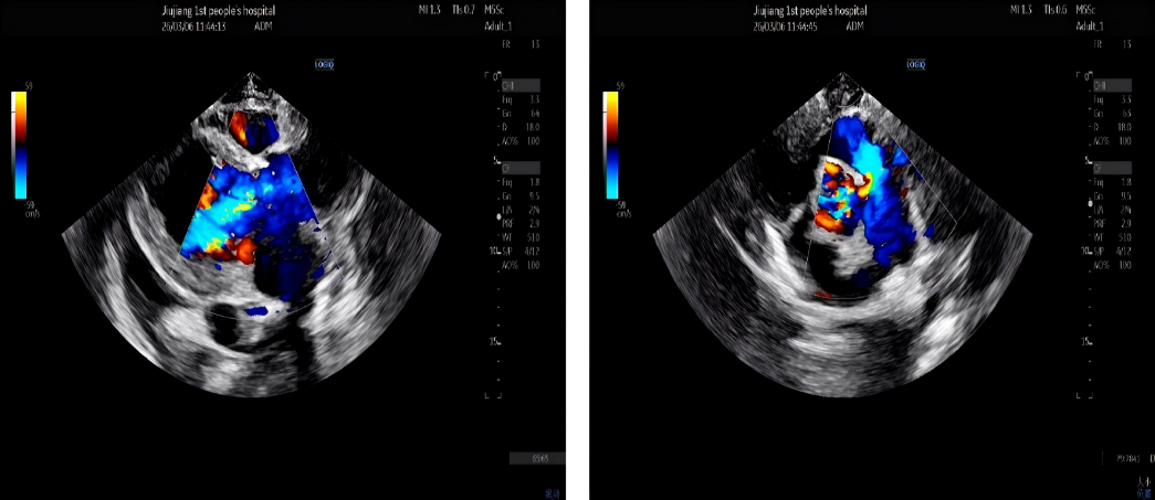
生死关头,在与患者家属充分沟通后,心血管诊疗中心一病区主任敖钦主任医师、主诊组长曹俊达副主任医师迅速集结心内、胸外、超声、麻醉、介入护理等多学科团队,并调动重症ECMO团队全程为手术保驾护航。团队选择经左侧颈总动脉入路,而这一术式,在急诊抢救、无术前CTA精准导航的双重极限条件下,无疑是一场超高难度的生死挑战。颈动脉是大脑供血命脉,操作稍有闪失即可引发灾难性卒中;无CTA就无法评估血管内斑块、走行异常、主动脉弓部情况,每一步都是“雷区”。心胸外科诊疗中心陈世雄副主任医师团队精准暴露左侧颈总动脉,穿刺、置管一气呵成。术中仅凭食道超声即时评估选择瓣膜型号,导丝“盲穿”穿过主动脉弓进入左心室。从穿刺到瓣膜释放,全程仅用时13分钟。造影显示瓣膜位置完美,无瓣周漏,冠脉通畅。术后患者血压即刻改善,次日心功能明显恢复,第五天转回普通病房,康复顺利。

图片

经颈总动脉TAVR是国际指南推荐的非常规入路首选方案,具有路径短直、操控性好、血管易处理等优势,尤其适配股动脉条件差的危重患者。医学的温度,藏于每一次“无路可走”时的坚守与突破。该手术的成功不仅填补了九江市该技术领域的空白,更充分展现了九江市第一人民医院多学科团队在极限条件下的技术储备、应急能力和协作水平。医院将继续以技术提升为引擎,以多学科协作为基石,全力守护赣北地区百姓健康。

(曹玉婷 九江市第一人民医院)

版权声明

本原创内容版权归掌中九江(www.jjcbw.com)所有,未经书面授权谢绝转载。


编辑:毕典夫

责编:曹玉婷

审核:许钦

评论

下载掌中九江

扫描二维码下载,或者点击这里下载