近日,九江市第一人民医院
八里湖院区成功救治一名
高危急性肺动脉栓塞患者
患者术后次日在专科病房突发晕厥,短时间内三次心跳呼吸停止,医院多学科团队火速集结,以重症医学科为核心协同作战,成功实施心肺脑复苏和肺动脉溶栓,最终将患者从死亡线上拉回,顺利康复出院。此次救治彰显了医院危重疾病精准救治水平,为高级胸痛中心创建提供了宝贵经验。
患者术后晨起突发晕厥,伴四肢厥冷、大汗淋漓,医护人员赶到时已呼吸心跳停止。医院即刻启动紧急预案及多学科会诊,重症医学科、呼吸科、心内科等多科室专家火速集结。重症医学科团队主导生命体征监护与支持,配合完成紧急气管插管及呼吸机辅助呼吸,先后三次在患者心跳停止时,通过规范胸外按压、肾上腺素静推等措施精准施救,为病因诊断争取了时间。
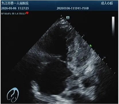
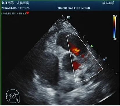
经床边超声、心电图等检查,医生快速确诊:患者急性右心扩大、肺动脉高压,双下肢静脉有血栓,且左股静脉有血栓游动,另有典型的SⅠQⅢTⅢ心电图改变,结合患者低血压,诊断为高危急性肺动脉栓塞。进一步肺动脉PTCA检查显示患者双肺多处肺动脉分支被血栓阻塞,死亡风险极高。
由于患者刚完成手术,溶栓治疗出血风险极高,但这是唯一保命手段。多学科专家团队充分评估后,与家属充分沟通并获得理解支持,果断采用阿替普酶溶栓治疗。为防止血栓再次脱落,介入科紧急植入下腔静脉滤网,重症医学科团队同步启动精细化管理,包括目标温度管理、重症超声容量调控、动态监测颅压及凝血功能等,ECMO团队全程待命以防循环衰竭。
在护理团队的精心照料下,患者术后次日苏醒,第三日成功拔管,第五日可简单交流,一周后复查肺动脉PTCA显示血栓基本消失。
急性肺动脉栓塞是全球第三大致死性心血管疾病,由静脉血栓脱落阻塞肺动脉引发,高危人群包括长期卧床、久坐、孕妇、肥胖及有血栓病史者,典型症状为“胸痛+呼吸困难+ 咯血”三联征。此次救治充分彰显了九江市第一人民医院多学科协作的高效响应能力和危重疾病精准救治水平。
(来源:九江市第一人民医院)
编辑:毕典夫
责编:曹玉婷
审核:朱静
扫描二维码下载,或者点击这里下载
©2015-2024 掌中九江版权所有
关于我们
联系电话0792-8505892
赣ICP备13005689号
赣公网安备36040302000178号
互联网新闻信息服务许可证36120240007号